Storitve in FQA

Kateri pogoji so potrebni za pridobivanje krošenj, ki se zlivajo v kovino?

2025-08-08 0 Pusti mi sporočilo

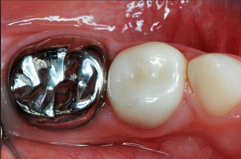
Če zob niso dovolj čisti ali beli, bo to močno vplivalo na videz tistih, ki zasledujejo lepoto. Če želite imeti čist in beli komplet zob, se lahko odločite za pridobitevPorcelanske kroneza izboljšave. Krone iz porcelana, ki se zlije v kovino, so tudi metoda obnavljanja zob, njihov naravni učinek pa je prepoznalo veliko ljudi.

Priročno slabi zobje naredijo ljubitelje lepote zelo v stiski.Porcelanske kroneso prejšnja oblika obnovitve zob, ki lahko izboljša različne težave z zobmi. Z razvojem tehnične ravni so materiali krone, ki se zlivajo v kovino, postali bolj raznoliki, čvrstejši in bolj estetsko prijetni.


Če želite pridobiti krone, ki se zlijejo v kovino, morate najprej zagotoviti zdravje parodontalnih tkiv, brez oralnih okužb ali bolezni, kot je akumulacija vina, in brez zunanjih poškodb zobne strukture. Potem lahko dobite krone, ki so bile zlivane v kovino.


Krone iz porcelana, ki se zlije v kovino, so primerne za manjkajočega zobnega zoba in tudi na območju zadnjega zob. Če želite dobitiPorcelanske krone, Priporočljivo je, da je število manjkajočih zob dva ali manj.

Povezane novice
Pusti mi sporočilo
X
Piškotke uporabljamo, da vam ponudimo boljšo izkušnjo brskanja, analiziramo promet na spletnem mestu in prilagodimo vsebino. Z uporabo te strani se strinjate z našo uporabo piškotkov. Politika zasebnosti
Zavrni Sprejmi